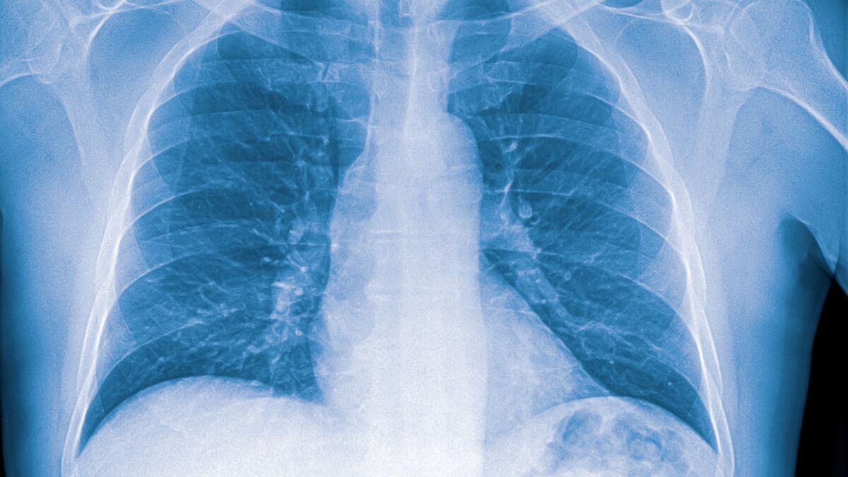
Silicose : une pathologie qui peut entrainer l’invalidité et la mort

386 000 décès par an, c’est le bilan des maladies provoquées par l’exposition à la poussière selon un rapport de l’Organisation Mondiale de la Santé depuis 2022. Parmi ces maladies on retrouve notamment la silicose, qui peut être aiguë, chronique ou accélérée. Qu’est-ce c’est que la silicose et quelles sont ses causes ? Oriane Hounkpè, Médecin généraliste nous donne des explications.

  • cover play_arrow

    Silicose : une pathologie qui peut entrainer l’invalidité et la mort Radio Afrique Santé

Le médecin revient ici sur les signes cliniques de la silicose. Oriane HOUNKPE qu’on écoute à nouveau

  • cover play_arrow

    Silicose : une pathologie qui peut entrainer l’invalidité et la mort Radio Afrique Santé

                                                                               Nawal AKOBI

Vous êtes maintenant abonné avec succès ! Oups ! Une erreur s'est produite, veuillez réessayer.
INFOLINE
+229 57 00 00 60
+229 52 00 00 62

© 2025 - Media Afrique Santé - radioafriquesante.bj

Retour en haut