Journée Mondiale de la Santé Bucco-Dentaire 2024 : Attention aux Pics Dents, Ils Pourraient Aggraver Vos Problèmes Parodontaux !

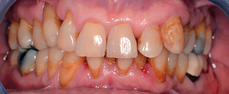
Célébration ce 20 mars 2024 de la journée mondiale de l’hygiène bucco-dentaire. À cette occasion, Radio Afrique Santé s’intéresse aux maladies parodontales. Ce sont des maladies dues à la mauvaise hygiène bucco-dentaire. Encore appelée parodontopathie ou parodontite, les maladies parodontales sont des infections bactériennes qui attaquent les tissus qui soutiennent les dents, à savoir : la gencive, l’os, le cément et les ligaments. On estime qu’elles touchent plus d’un milliard de personnes dans le monde. Mais comment se manifestent les maladies parodontales ? Écoutons les explications de docteure Sandrine Adjibi Sossou. Elle est médecin dentiste.
  • cover play_arrow

    Journée Mondiale de la Santé Bucco-Dentaire 2024 : Attention aux Pics Dents, Ils Pourraient Aggraver Vos Problèmes Parodontaux ! Radio Afrique Santé

 

Les maladies parodontales représentent la première cause de la perte des dents. Docteure Sandrine Adjibi Soussou nous renseigne sur les causes et les conséquences de ces maladies.
  • cover play_arrow

    Journée Mondiale de la Santé Bucco-Dentaire 2024 : Attention aux Pics Dents, Ils Pourraient Aggraver Vos Problèmes Parodontaux ! Radio Afrique Santé

Les maladies parodontales peuvent être prévenues par une bonne hygiène bucco-dentaire. Cette hygiène bucco-dentaire ne se limite pas seulement au bon brossage des dents. Il y a plusieurs autres précautions à prendre, selon docteur Sandrine Adjibi Soussou. L’utilisation des piques-dents favorise également la souvenue des maladies parodontales, selon les explications de la dentiste.
  • cover play_arrow

    Journée Mondiale de la Santé Bucco-Dentaire 2024 : Attention aux Pics Dents, Ils Pourraient Aggraver Vos Problèmes Parodontaux ! Radio Afrique Santé

Vous êtes maintenant abonné avec succès ! Oups ! Une erreur s'est produite, veuillez réessayer.
INFOLINE
+229 57 00 00 60
+229 52 00 00 62

© 2025 - Media Afrique Santé - radioafriquesante.bj

Retour en haut