
Pour une première fois, le Bénin sera représenté à la Biennale de Venise qui va se dérouler du 20 avril...

Pour une première fois, le Bénin sera représenté à la Biennale de Venise qui va se dérouler du 20 avril...

Un conducteur de taxi moto a rendu l'âme mystérieusement dimanche 24 mars 2024 à Adjagbo, une localité de la Commune...

7 ans de prison ferme, c’est ce que risque un pasteur qui a disparu avec les sous des épargnants dans...

La gonorrhée est une infection sexuellement transmissible (IST) qui demeure un problème majeur de santé publique. Encore appelée la gonococcie,...

Le 20 mars est la journée mondiale du conte. Un événement instauré afin de restituer le rôle qu’a joué cet...

Le bonheur a aussi sa Journée mondiale. Cela se célèbre le 20 mars de chaque année.

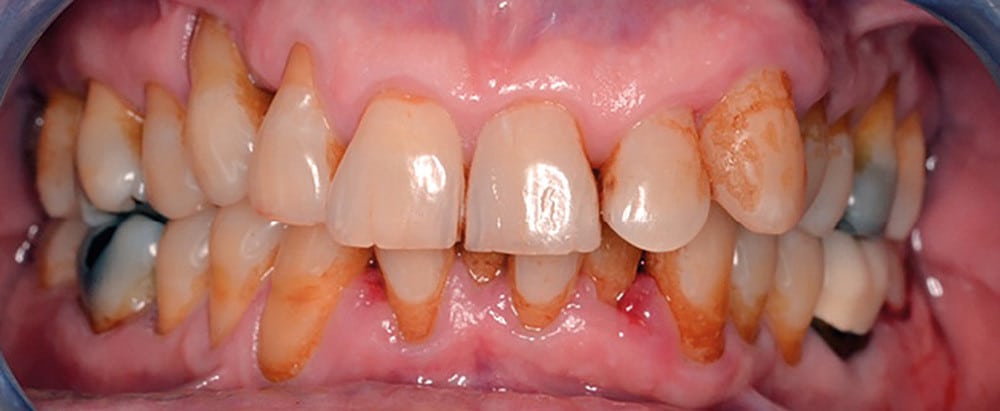
Célébration ce 20 mars 2024 de la journée mondiale de l'hygiène bucco-dentaire. À cette occasion, Radio Afrique Santé s'intéresse aux...

La journée internationale sans viande existe aussi. Elle se célèbre le 20 mars de chaque année.

Les Aspirants au Métier d'Enseignant (AME) bénéficient désormais de plusieurs avantages en vue de l'amélioration de leur condition de travail....

Depuis 2020, la campagne « Zéro Palu : les entreprises s’engagent » a été lancée par le groupe d’action Speak...
Les édulcorants sont des produits ou substances naturelles ou de synthèses donnant une saveur sucrée. Ils sont parfois utilisés dans...
Le 06 mars de chaque année est dédié à la Journée internationale de la radio et de la télévision en...